umcistra.ru
  • Разделы
    • Лайфхаки в картинках
    • Образы и смыслы
    • Сборник идей
    • Фотоколлекция
    • Галерея впечатлений

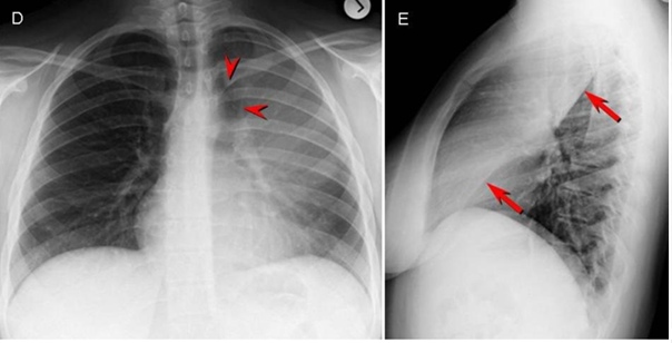
Ателектаз на рентгене грудной клетки: примеры и пояснения


Раздел: Галерея впечатлений
Популярные разделы:
Лайфхаки в картинках
Образы и смыслы
Сборник идей
Фотоколлекция
Галерея впечатлений
Смотрите еще:
Украшения и изделия из оникса и змеевика
Работы художника Туляева о Санкт-Петербурге
Татуировки в японском стиле: Подборка лучших эскизов и работ
Вид Кремля с Moscow City: Уникальные перспективы столицы
Пошаговая схема подключения светодиодов
Весёлые и необычные новогодние фотографии с Циничным Гусем
Особенности интерфейса Photoshop 2019: фотообзор
Физическая карта Турции: особенности и детали
Copyright © 2010 - 2025 | Отказ от ответственности